牛膝是莧科植物牛膝 Achyranthes bidentata Bl. 的 干燥根,產于我國南溫帶亞濕潤氣候區,黃河以 北、海拔 200 m 以下的沖積平原最適宜栽培,其傳 統產區為河南焦作(古懷慶府),當地已有 2000 多年 的栽培歷史,所產牛膝條子粗壯、明亮、色澤鮮 艷、油性大,加上廣大藥農在長期的生產實踐中積 累了豐富的栽培經驗,創造了獨特的加工技術,成 就了道地藥材懷牛膝。現在懷牛膝產區逐步外延, 在國內形成三大牛膝產區:內蒙赤峰牛營子鎮,河 北安國市周邊,河南武陟大虹橋、大封鎮和溫縣趙 堡鎮。牛膝主要化學成分包括三萜皂苷類、甾酮 類、多糖類、黃酮類等,藥理作用包括抗骨質疏 松、改善血液循環、抗動脈粥樣硬化、促進神經生 長、改善糖代謝等 。
1260 型高效液相色譜儀(美國安捷倫科技 有限公司);MS204S 萬分之一分析天平、XP205 十 萬分之一天平(瑞士梅特勒-托利多有限公司);電子天平(賽多利斯);KQ250DB 型數控超聲波清洗器(昆山市超聲儀器有限公 司);LGJ-12 低溫冷凍干燥儀(北京松源華興科技發 展有限公司);SB-1100 旋轉蒸發儀、A-1000S真空泵(日本東京理化器械株式會社)。
β-蛻皮甾酮對照品 (批號:111638-201706,純度:98.4%)、牛膝對照 藥材(批號:121066-201508)、人參皂苷 Ro 對照品 (批號:111903-201604),中國食品藥品檢定研究 院。試劑乙腈、甲醇為色譜純;水為屈臣氏蒸餾 水;其他試劑均為分析純。
16 批牛膝飲片(S1~S16)來源:河北安國 (S1~S3)、河南武陟(S4~S10)、河南孟州(S11~S13)、 內蒙赤峰(S14~S16),經廣州中醫藥大學王洛臨主任 中藥師鑒定,均為莧科植物牛膝 Achyranthes bidentata Bl. 的干燥根。由本實驗室根據《中藥配方顆粒質量控 制與標準制定技術要求》(征求意見稿)制備牛膝的標 準湯劑。另取內蒙赤峰飲片(S14~S16)分別制備 3 批 配方顆粒樣品。
標準湯 劑:根據 《中藥配方顆粒質量控制與標準制定技術 要求》 和國家中醫藥管理局 《醫療機構中藥煎藥室 管理規范》,稱取牛膝,煎煮 2 次。第 1 次加水 9 倍 量,浸泡 30 min,煎煮 30 min,濾過;第 2 次加水 7 倍量,煎煮 20 min,濾過,濾液合并,減壓濃縮至 飲片投料量,即浸膏濃度為 1 g·mL-1 ,冷凍干燥,即 得標準湯劑凍干粉。 配方顆粒:取牛膝 2 500 g,煎煮 2 次。第 1 次 加水 8 倍量,煎煮 30 min;第 2 次加水 6 倍量,煎 煮 30 min;濾過,濾液合并,減壓濃縮至相對密度 為 1.05~1.10(60 ℃)的浸膏,噴霧干燥,得干膏 粉;加入麥芽糊精適量,混勻,制成顆粒 1 000 g, 即得。 2.2 TLC 法鑒別牛膝針標準湯劑和配方顆粒中的指 標成分
取牛膝標準湯劑凍干粉和 配方顆粒各約 1 g,加 80%甲醇 50 mL,超聲處理30 min,濾過,濾液蒸干,殘渣加水 15 mL,微熱使 溶解;加在 D101 大孔吸附樹脂柱(內徑為 1.5 cm, 柱高為 15 cm)上,用水 100 mL 洗脫,棄去水液;再 用 20%乙醇 100 mL 洗脫,棄去洗脫液;繼用 80%乙 醇 100 mL 洗脫;收集洗脫液,蒸干,殘渣加 80%甲 醇 1 mL 使溶解,即得。
取 β-蛻皮甾酮對照品和人 參皂苷 Ro 對照品適量,加甲醇制成每 1 mL 分別含 β-蛻皮甾酮 1 mg、人參皂苷 1 mg 的混合對照品溶液。
取牛膝對照藥材 2 g, 加 80%甲醇 50 mL,加熱回流 3 h。按 2.2.1 項下方法制備對照藥材溶液。
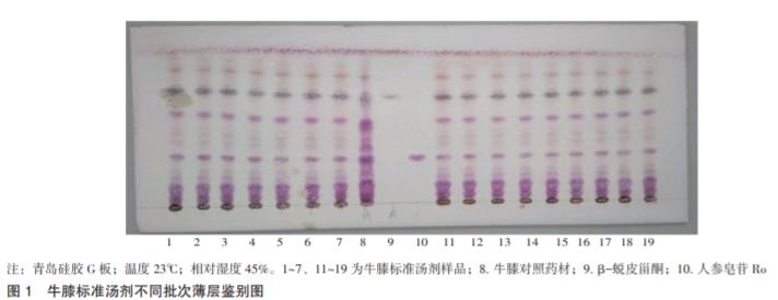
按照《中國藥典》2015 年版四部通則 (0502),吸取供試品溶液、對照藥材溶液和對照品 溶液各 4 μL,分別點于同一硅膠 G 薄層板上;以三 氯甲烷-甲醇-水-甲酸(7∶3∶0.5∶0.05)為展開劑,展 開,取出晾干,噴以 5%香草醛硫酸溶液,在 105 ℃ 加熱至斑點顯色清晰。結果見圖 1、2。以牛膝對照 藥材溶液、β-蛻皮甾酮和人參皂苷 Ro 為參照,牛膝 標準湯劑與配方顆粒樣品溶液在同一硅膠 G 薄層板 相應位置顯相同顏色的熒光斑點。


取 S1~S16 批牛膝飲片粉 末(過 3 號篩)各約 1 g,精密稱定,置具塞錐形瓶 中,加水飽和正丁醇 30 mL,密塞,浸泡過夜;超聲處理(功率 250 W,頻率 40 kHz)30 min,濾過;用 甲醇 10 mL 分數次洗滌容器及殘渣,合并濾液和洗 液,蒸干;殘渣加甲醇使溶解,轉移至 5 mL 量瓶, 加甲醇至刻度,搖勻,即得。 另取牛膝標準湯劑和配方顆粒樣品各約 0.5 g, 精密稱定,置具塞錐形瓶中。精密加入甲醇 25 mL, 稱定質量,超聲處理(功率 250 W,頻率 40 kHz) 30 min,放冷,稱定質量;用甲醇補足減失的質量, 搖勻,濾過,取續濾液,即得。
取 β-蛻皮甾酮對照品適 量,精密稱定,加甲醇使溶解制成每 1 mL 含 24.3 μg 的溶液,即得。
采用 Agilent ZORBAX Eclipse C18 柱(250 mm ×4.6 mm,5 μm)。 以乙腈-0.1%甲酸水溶液(16∶84)為流動相;檢測波 長為 250 nm。理論板數按 β-蛻皮甾酮峰計算應不低 于 4 000。此色譜條件下,供試品溶液中待測指標成 分 β-蛻皮甾酮分離度良好。
精密吸取 β-蛻皮甾酮對照品 溶液 1、2、4、6、8、10 μL,按 2.3.3 項下色譜條件 分別進樣測定,以進樣量為橫坐標(X)、峰面積為縱 坐標(Y),得回歸方程 Y=1 647 876.54X-1 557.91,r= 1.000 0,β-蛻皮甾酮線性范圍為 0.024 3~0.243 0 μg。
取 β-蛻皮甾酮對照品溶液,按 2.3.3 項下色譜條件連續進樣 6 次,結果 β-蛻皮甾酮 峰面積 RSD 為 0.65%,表明精密度良好。
取標準湯劑(S1)供試品溶液,分 別放置 0、2、4、6、8、12 h 時,按 2.3.3 項下色譜 條 件 測 定 , 結 果 β- 蛻 皮 甾 酮 峰 面 積 的 RSD 為 1.29%,說明供試品溶液在 12 h 內穩定。
取標準湯劑(S1)供試品溶液, 按照 2.3.1 項下方法制備供試品溶液,按 2.3.3 項下 色譜條件測定,平行 6 次。結果 β-蛻皮甾酮質量分 數平均值為 0.096%,RSD 為 1.22%,表明該方法重 復性良好。
精密稱取牛膝標準湯劑 (S1)樣品粉末 0.25 g(β-蛻皮甾酮含量為 0.096%), 平行 6 份;各加入 β-蛻皮甾酮對照品 0.243 0 mg, 混勻,按 2.3.1 項下方法制備供試品溶液,按 2.3.3 項下色譜條件測定。結果平均加樣回收率為 92.34%, RSD 為 1.21%,表明加樣回收率良好。 2.3.5 指標成分含量測定 分別取 S1~S16 批牛膝飲 片及其標準湯劑凍干粉、S14~S16 批配方顆粒,按 2.3.1 項下方法制備供試品溶液,按 2.3.3 項下色譜條 件測定,結果見表 1。S1~S16 批飲片 β-蛻皮甾酮含 量為 0.066%,標準湯劑出膏率和 β-蛻皮甾酮含量分 別為 32.906%、0.102%,標準湯劑轉移率為 51.82%。 按照《中藥配方顆粒質量控制與標準制定技術要求》 (征求意見稿),取平均值的 70%~130%分別作為 4 者的變異可接受范圍,則各指標范圍飲片 β-蛻皮甾 酮含量為 0.46%~0.85%,標準湯劑出膏率 23.03%~ 42.78%,標準湯劑 β-蛻皮甾酮含量 0.071%~ 0.133%, 標準湯劑轉移率 36.28%~67.37%。經測定,3 批配方 顆粒(S14~S16)出膏率、β-蛻皮甾酮含量、β-蛻皮甾 酮轉移率平均值為 35.45%、0.121%、59.13%,均在 標準湯劑規定值范圍內,說明該配方顆粒制備工藝 基本合理。
中藥配方顆粒應遵從傳統中醫藥理論,在融合現 代工藝設備基礎上盡可能地保留傳統湯劑中的主要 成分。為有效控制中藥配方顆粒生產各環節的質 量,國家藥典委員會《中藥配方顆粒質量控制與標準制定技術要求》(征求意見稿)提出標準湯劑的概念并 將其作為衡量中藥配方顆粒是否與臨床湯劑基本一 致的標準參照物。按照技術要求,標準湯劑由不少 于 15 批原料藥材分別制得,用出膏率、有效或指標 成分的含量測定及轉移率、指紋或特征圖譜等參數 來表征,以平均值規定變異可接受范圍確定限度。 釆用 HPLC 或 GC 指紋圖譜技術,加強其專屬性鑒別 和整體質量控制。本研究按照上述要求建立基于標 準湯劑的牛膝配方顆粒的質量標準。